Review Article

Emerging Infectious Diseases at the Clinic-Clinical Lab-Research Lab Interface

Emerging and re-emerging infectious diseases have been a constant companion of medicine since its onset. In this commentary, we will discuss the multi... Read more

10.36959/856/510

Short Review

Integrated Behavioral Health Model for COVID-19 Patients

The COVID-19 pandemic has impacted health outcomes for noncommunicable diseases (NCD's), lifestyle behaviors, psychiatric and substance use disorders ... Read more

10.36959/577/500

Review Article

Laboratory Markers and Mortality in Novel Coronavirus Disease 2019 (COVID-19): A Systematic Review and Meta-Analysis

Novel coronavirus disease 2019 (COVID-19) is associated with high mortality. Many laboratory values have been suggested to predict patients at risk fo... Read more

10.36959/592/391

Review Article

Covid-19 Treatment: A Narrative Review of the Research and Evidence Thus Far

The emergence of the novel SARS-CoV-2 virus has led to an unprecedented global pandemic with a high degree of morbidity and mortality. Treatment regim... Read more

10.36959/592/390

Research Article

Predictors of Postoperative Hypocalcemia after Total Thyroidectomy: The Role of a Single Intraoperative Rapid PTH

Postoperative hypocalcemia (PoHC) is the most common complication of total thyroidectomy (TT). The availability of a reliable predictor of PoHC would ... Read more

10.36959/608/449

Research Article

A Comprehensive Analysis of the Effect of Histological Subtypes on the Survival Probability of Kidney Carcinoma Patients: A Hypertabastic Survival Analysis

The purpose of this study is two-fold. First, to find out whether the histological subtypes can serve as an independent prognostic factor for kidney c... Read more

10.36959/896/604

Case Report

Conus Medullaris Syndrome due to Ligamentum Flavum Thickening and Intervertebral Disc Bulging

A 72-year-old male with past medical history of common chronic illness presented to a rehabilitation clinic with a chief complaint of trouble walking ... Read more

10.36959/479/436

Research Article

Monitoring the Effects of Combinatet Treatment Chronic Periodontitis Using Bone Metabolism Biomarker Osteocalcin

84 patients with mild chronic periodontitis were participated in this study who received initial periodontal therapy. All patients underwent a thoroug... Read more

10.36959/915/575

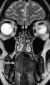
Case Report

Atypical Presentation of a Sinonasal Adenocarcinoma Clinically Mimicking a Mucocele: Case Report

Sinonasal adenocarcinomas are rare, it represent 4 to 20% of nasosinusian carcinomas, the latest WHO 2017 classification distinguishes two types: Inte... Read more

10.36959/605/553

Case Report

Case Report: Resolution of Hypoglossal Nerve Palsy Following Aspiration of a Branchial Cyst

Cranial nerve palsies caused directly by branchial cysts is a rare entity. We report a case of hypoglossal nerve palsy in a 47-year-old female with a ... Read more

10.36959/605/550