Case Report

Depression and Restless Leg Syndrome among Medical Students, Sudan: A Pilot Study

This pilot study was conducted among the 6th year medical students in the Faculty of Medicine, Omdurman University, Sudan, during the period from June... Read more

10.36959/532/322

Case Report

The Greatest Risk to Malaysian Healthcare Workers during COVID-19 Crisis: Lies of Patients

In Malaysia, the first case of the coronavirus disease 2019 (COVID-19) was reported on 25 January 2020. Reported cases remained relatively low until a... Read more

10.36959/856/494

Case Report

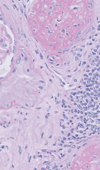
A Patient of Crescentic Glomerulonephritis with Positive Anti Myeloperoxidase Antibodies and Immunoglobulin a Deposits on Immunofluorescence: The Conundrum Continues

Immunoglobulin (Ig)A nephropathy is the commonest type of primary glomerulonephritis (GN) in the world, with an estimated incidence of 2.5/100000 adul... Read more

10.36959/832/402

Original Article

Single Stage Conversion from Laparoscopic Adjustable Gastric Band to Laparoscopic Sleeve Gastrectomy is Safer than Laparoscopic Adjustable Gastric Band to Roux-en-Y Gastric Bypass: Results of a 10-Year Analysis of Complications

Conversion from laparoscopic Adjustable Gastric Band (AGB) to Roux-en-y gastric bypass (RNY) or Sleeve Gastrectomy (SG) is now common. Complication ra... Read more

10.36959/367/445

Case Report

Recurrent Miscarriage in the Context of COVID-19 Pandemic: Is There An Association?

Corona virus disease 2019 (COVID-19) is considered a worldwide pandemic. COVID-19 patients had profound immune dysregulation, so they could be suscept... Read more

10.36959/468/470

Original Article

Cesarean Skin Scar Characteristics For Preoperative Prediction of Intra-Abdominal Adhesions At Repeat Cesarean Delivery; a Prospective Cohort Study

The current study was a prospective cohort study carried out in a tertiary Maternity hospital. Three hundred women with prior CD and scheduled for ele... Read more

10.36959/468/469

Case Report

GSM - Why Should We Care?

It is estimated that nearly 60% of women in menopause experience a condition called genitourinary syndrome of menopause (GSM) but the majority of thes... Read more

10.36959/468/468

Review Article

Protect the Environment and Protect Yourself from the Environment

Knowing the potential of a country and nation is critical for setting reasonable and analyzed vision of sustainable development for the people and the... Read more

10.36959/742/226

Research Article

Patterns of Care and Predictors of Survival among DCIS Patients: An NCDB Analysis

The National Cancer Database (NCDB) was queried to identify all patients diagnosed with DCIS between 2004- 2015. After applying exclusion criteria, Co... Read more

10.36959/739/526

Editor Note

Coronavirus Pandemic and Future Possibilities in Robotics Research

With the Coronavirus pandemic, I have been thinking about the possibilities of using robots to help with the situation, and in what forms. The possibi... Read more

10.36959/673/367