Research Article

Exogenous Salt and ABA Enhanced Stress Responsive Nuclear Protein in Solanum Lycopersicum

Abiotic stresses such as salt and water stresses severely reduce crop productivity. Tomato (Solanum lycopersicum) is an important economic crop; howev... Read more

10.36959/745/403

Research Article

Protected Cultivation of Summer Squash in Mid-hills of Uttarakhand

Mid-hills of Uttarakhand constitute major part of agricultural land in north-west Himalaya. This region has unique advantage of off-seasonality in veg... Read more

10.36959/745/402

Original Clinical Research

Prognosis and Complications of Hyperuricemia Patients Undergoing Isolated Coronary Artery Bypass Surgery

Recent studies suggest that high levels of serum uric acid of very early life are a result of the in-utero environment and may lead to elevated blood ... Read more

10.36959/582/425

Case Report

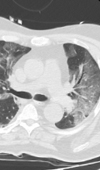
An Unusual Case of Thymoma Invading SVC Excised Completely Enbloc with SVC Resection and Reconstruction

We report a challenging rare case of stage III large thymoma with superior vena cava (SVC) invasion but without SVC syndrome or myasthenic symptoms. T... Read more

10.36959/582/424

Research Article

Biology and Integrated Control of Tomato Wilt Caused by Fusarium oxysporum lycopersici: A Comprehensive Review under the Light of Recent Advancements

Tomato (Lycopersicon esculentum L.) is one of the most popular and important commercial vegetable crops grown throughout the world. Tomato is a rich s... Read more

10.36959/771/565

Review Article

Mass Loss of a Polymeric Composite under Action of Space Radiations

The effect of electron, proton and electromagnetic radiations on mass loss of EKOM-1 polymeric composite was studied. Irradiation was made by 40-keV e... Read more

10.36959/422/443

Case Report

Cardiac Dysrhythmia Presenting as Possible Seizures Consequent to Concussion- Heart over Head

A 30-year-old elite professional footballer was diagnosed with post-concussive epilepsy. Following neurological evaluation he was found to have cardia... Read more

10.36959/987/253

Original Article

Eight Weeks Sit-Up versus Isometric Abdominal Training: Effects on Abdominal Muscles Strength Capacity

The importance of abdominal muscles to achieve and maintain adequate mobility and stability of the trunk has long been underestimated. We therefore ex... Read more

10.36959/987/252

Case Report

Characteristics of Critically Ill Patients with Covid-19: A Cohort Study in Medical Intensive Care Unit (Mulhouse, France)

The outbreak of the novel coronavirus SARS-CoV-2 began in the east of France during the first days of March after a religious meeting gathering about ... Read more

10.36959/856/493

Case Report

Reverse Innovation: Could Learning From LMIC Child Health Programmes Support HIC to Equitably and Efficiently Address Child Health Needs Post COVID-19?

It has been recognised that the first 1000 days (now extended to age 5) of a child's life are fundamental for growth and brain development. Furthermor... Read more

10.36959/856/492