Original Research

Clinical Characteristics of Patients with COVID-19 in Saudi Arabia - A Single Center Experience

This is a retrospective review of consecutive patients admitted with diagnosis of COVID-19 confirmed by Real Time Reverse Transcription Polymerase Cha... Read more

10.36959/719/568

Original Article

Dental Health Relevant to Hedonic and Eudaimonic Wellbeing

There is scarce literature linked to wellbeing including hedonic and eudaimonic wellbeing in dentistry. Specifically, regarding dental diseases, pain ... Read more

10.36959/704/674

Research Article

Physiological and Environmental Factors Influencing Bitter Pit in Apples

Bitter pit is a physiological disorder that occurs in pome fruit, mainly apples (Malus domestica) and pears (Pyrus communis). Although bitter pit was ... Read more

10.36959/745/401

Case Report

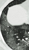
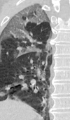
CT Features of COVID-19: A Case Report

We describe here the Chest CT imaging features of a 68-year-old man presenting with fever (37.5 ℃), malaise, dyspnea and persistent dry cough for 7 ... Read more

10.36959/592/384

Research Article

Socio-Economic Household Surveys on the Application of Basic Preventive Measures Dictated by the WHO to Stop the Spread of COVID-19 in the Northern Zone of Cameroon

Currently, the emergence of a new human coronavirus, COVID-19, is of concern to all humanity. In order to understand the effect of this disease on the... Read more

10.36959/719/562

Case Report

X-Linked Periventricular Nodular Heterotopia a Rare Cause of Headache and Right Sided Hemiparesis in a 7-Year-Old Girl

X-linked Periventricular Nodular Heterotopia (X-linked PVNH) is a neuronal migration disorder that occurs because nerve cells fail to migrate during f... Read more

10.36959/595/408

Review Article

Gastric Xanthoma: To Remove or not to Remove?

A 36-year-old healthy male presented for evaluation of chronic diarrhea and post-prandial epigastric abdominal pain. He denied any other gastrointesti... Read more

10.36959/879/377

Case Report

Complicated Bilateral Pulmonary Hydatid Cysts

Hydatid disease also known as hydatidosis is an endemic parasitic zoonotic disease in some parts of world including Mediterranean basin, South America... Read more

10.36959/582/422

Research Article

Virological Suppression among HIV Infected Adolescents and Youths Receiving ART in the National Teaching and Referral Hospital in Kenya

We conducted a cross-sectional study among adolescents and youths aged 10 to 24-years in Kenyatta National Hospital who were on ART for at least six m... Read more

10.36959/695/567

Case Report

Rapid and Successful Rehabilitation and Return to Play for a Division 1 Gymnast after Treatment for Recalcitrant Lateral Epicondylosis with Ultrasound Guided Percutaneous Tenotomy

We present a novel case of an 18-year-old Division 1 college gymnast with recalcitrant lateral elbow pain. His symptoms were refractory to conservativ... Read more

10.36959/987/249