Case Report

What Shall We Do Now? Report of Unexpected CT Finding and Its Management

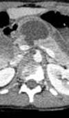
A 41-years-old patient underwent total colectomy and ileal pouch-anal anastomosis with derivative ileostomy for a familiar adenomatous polyposis coli ... Read more

10.36959/879/375

Case Report

Epidural Anesthesia Combined with Intravenous Dexmedetomidine Sedation for Elective Ileostomy Closure in a Patient with Bilateral Lung Transplantation: A Case Report

A patient who had undergone bilateral lung transplantation surgery four years ago and had significant residual pulmonary insufficiency was scheduled f... Read more

10.36959/377/331

SHORT COMMUNICATION

From Green Biotechnology to Food Safety of Crop Production: All Cosmos Bio-Tech as a Model

Owing to the increasing demand for the use of agricultural products, along with new and more restrictive policies regarding the application of fertili... Read more

10.36959/487/283

Research Article

A Simple Electrochemical Method for Nitrate Determination in Leafy Vegetables

A fast and easy electrochemical method for nitrate determination in leafy vegetables was developed. It is a much cheaper method compared to the HPLC m... Read more

10.36959/487/284

Research Article

Practice Patterns in Gynecology Oncology

Gynecologic oncologists have different practice patterns based on practice setting and adjuvant treatments offered. Hospital and practice call coverag... Read more

10.36959/909/467

Review Article

Performance Analysis of Solar Pumped Alexandrite Laser: A New Way for Lowering the Threshold Power

Simple approach for achieving high efficiency of solar pumped laser performance on the base of alexandrite active medium is proposed. Performance anal... Read more

10.36959/665/318

Review Article

Common Substrates of Medication-Resistant Temporal Lobe Epilepsy: Hippocampal Sclerosis, Focal Cortical Dysplasia, and Combined Pathologies

Temporal lobe epilepsy (TLE) is an etiologically heterogeneous syndrome that constitutes the largest proportion of refractory partial epilepsies. The ... Read more

10.36959/817/522

Research Article

Gunshot Fractures to the Limbs: A Review of Fixation Methods

The authors had intensive experience with gunshot fractures in wounded civilian and military in the war against organized crime in Rio de Janeiro. Fro... Read more

10.36959/479/431

Case Report

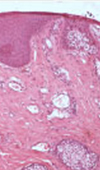
Lacrimal Gland Adenocarcinoma with Apocrine Metaplasia: A Case Report

We present the case of lacrimal gland adenocarcinoma with apocrine metaplasia and a literature review for similar cases. A 65-year-old male with painl... Read more

10.36959/605/532

Case Report

Endoscopic Transsphenoidal Management of Ecchordosis Physaliphora in the Sphenoid Sinus: A Case Report and Review of Approaches to Resection

Ecchordosis Physaliphora (EP) is a benign lesion originating from the developing notochord, similar to chordoma. We report complete resection of an as... Read more

10.36959/605/531