Research Article

Comparative Study of Biodegradation and Coagulation of Dairy Effluent by Using Immobilized Microbial Isolates and Chitosane Silver Nano Particles and Production Biodiesel

Environmental pollution is one of the major ecological difficulties, rapid growth of industrial and explosion of population are the primary reasons fo... Read more

10.36959/958/571

SHORT COMMENTARY

Minimally Invasive Lacrimal Duct By-Pass Surgery

Primary and secondary acquired nasolacrimal duct obstruction (where applicable) in adults is the main indication of performing this procedure especial... Read more

10.36959/351/586

Research Article

Impact of an Onsite Endobronchial Ultrasound Program on the Time to Treatment of Cancer in Veterans

Endobronchial ultrasound (EBUS) is commonly employed in the diagnostic evaluation of pulmonary nodules and for mediastinal staging of lung cancer. We ... Read more

10.36959/825/581

Editorial

Nucleobindin-2 mRNA level is down regulated in KRAS-mutation lung cancer cell lines compared with EGFR/BRAF/KRAS wild-type lung cancer cell lines

All participants understand that the information will be published anonymously, but that full anonymity cannot be guaranteed. We understand that the t... Read more

10.36959/825/580

Original Research

Lobaplatin or Cisplatin Plus Etoposide for Treating Extensive Stage Small Cell Lung Cancer

The EL and EP groups did not differ substantial in objective response rate, hospital stay, or rate of leukocyte and platelet decrease. In the two grou... Read more

10.36959/825/579

Research Article

Association of Hyperhomocysteinemia and Adverse Postoperative Outcomes of on-Pump Primary Isolated Coronary Artery Bypass Grafting Surgery among Postmenopausal Women

Studies investigating the possible role of hyperhomocysteinemia (HHC) in increasing postoperative morbidity and mortality among postmenopausal women u... Read more

10.36959/652/398

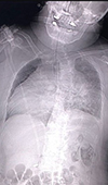
Case Report

A Case of Repetitive Consciousness Disturbance with Hypercapnia due to Nonconvulsive Status Epilepticus in Klippel-Feil Syndrome

A 59-year-old female complained palpitation in the morning. She was found in unconsciousness by her family and transported to our department. Her past... Read more

10.36959/592/383

Review Article

Sustainability and the European Waste Management Industry

Waste raises a range of environmental problems within Europe and sustainability has become an increasingly important challenge for the waste managemen... Read more

10.36959/742/217

Editorial

Addictive Behaviour on the Internet: A Quagmire for the Young and Unsuspecting

Although Smartphone usage accomplishes a revolutionary manner in which different types of information are acquired, the technology is responsible also... Read more

10.36959/843/427

Review Article

Shaft Lengths and Shaft Development Types in the Vadose Zone of the Bakony Region (Transdanubian Mountains, Hungary)

The potential and explored lengths of the shafts of the Bakony Region were studied. Shaft patterns were distinguished with the help of shaft maps and ... Read more

10.36959/624/431