Review Article

Care of the Self and Subjectivity in Precarious Neoliberal Societies

This paper aims at analyzing precarity as an existential condition that is structural and that permeates one's affective environment. The uncaring rul... Read more

10.36959/763/496

Research Article

A Novel Technique for Safe Laparoscopic-Assisted Subtotal Splenectomy in Children with Hereditary Spherocytosis

Partial splenectomy has emerged as a surgical option for children with hereditary spherocytosis. The goal of reducing anemia and hypersplenism while p... Read more

10.36959/367/441

Research Article

Epidemiological Profile of Cervical Cancer in Bahrain (2005 To 2015)

Cervical cancer is the fourth most prevalent cancer among females. In 2012, the global incidence rate exceeded 500,000, and the worldwide mortality ra... Read more

10.36959/749/521

Case Report

Opioid Management and Risk Mitigation

Over the span of seven months physicians had to reconcile two very different messages regarding pain and the use of opioids issued by institutions tha... Read more

10.36959/377/325

Review Article

Impacts of Soil Pollution on Air Quality under Nigerian Setting

Soil pollution is majorly caused by human activities (viz: Agricultural practices, industrial activities and poor waste management) and natural effect... Read more

10.36959/624/430

Research Article

A Quick and Inexpensive Method to Determine Pesticide Residues in Olive Oil by UHPLC-MS/MS and GC-MS/MS

Olive oil samples were analyzed for twenty-nine pesticides by means of gas chromatography and Ultra HPLC coupled to mass spectrometry. The list of the... Read more

10.36959/525/444

Original Article

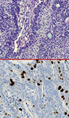
Immunohistochemical and Biomolecular Characteristics of Craniopharyngiomas: A Single Institution Experience from Southern Italy

In the present paper, The Authors discuss the histological and immunohistochemical aspects observed in a casuistry of craniopharyngiomas (CP), identif... Read more

10.36959/828/333

Research Article

Ptosis Surgery with an Improved Method of Shortening the Müller's Muscle and the Levator Aponeurosis with Transconjunctival Threading

The present procedure was performed in 17 patients with age-related ptosis. Postoperatively, satisfactory aesthetic results were achieved in all cases... Read more

10.36959/587/589

Review Article

Design and CFD Analysis of a Blended Wing UAV (A Conceptual Design)

Aerodynamic Forces mainly lift and Drag acting on an aircraft, are directly related to the geometry and wing profile of an aircraft. In this research ... Read more

10.36959/422/435

Research Article

Negative Pressure Wound Therapy: An Asset When Treating Pediatric Osteoarticular Infection

Pediatric osteoarticular infection can lead to serious sequelae and permanent disability. The purpose of this study was to describe use of Negative Pr... Read more

10.36959/453/520