Research Article

Percutaneous Trigeminal Thermocoagulation at Amiens-Picardie Teaching Hospital from 2004 to 2015: about 52 Procedures

Refractory trigeminal neuralgia may be source of heavy discomfort and disability for patients with pitiful quality of life. Trigeminal thermocoagulati... Read more

10.36959/363/406

Research Article

Targeting Ability of c(RGDyK)-Functionalized Nanoparticles is Inhibited by Protein Coronas

Nanoparticles functionalized with targeting ligands have been proposed as effective carriers for the selective delivery of diagnostic or therapeutic r... Read more

10.36959/758/538

Review Article

The Turing Test and Android Science

As is well-known, Turing's classic test was based on the simultaneous comparison by an interrogator of two hidden entities, one being human and the ot... Read more

10.36959/673/356

Research Article

Students' Perception of Curbing Deviant Behaviours in Jamaican Secondary Schools: An Assessment of the Corrective Measures Used in Behaviour Modifications by School Personnel

Social deviance continues to be a challenge in our world, including Caribbean societies. Some people feel that such behaviours should be tackled by co... Read more

10.36959/763/486

Research Article

Return to Sport after ACL Reconstruction Using Hamstring Tendon: Analyzing 51 Cases from Malta's Hospital in Dakar

The anterior cruciate ligament (ACL) rupture is a frequent lesion in athletes. It is incompatible with the practice of high-level sport, especially pi... Read more

10.36959/453/519

Research Article

Minimally Invasive Plate Osteosynthesis (MIPO) for Treatment of Comminuted Mid-Distal Third Humeral Shaft Fractures through the Anterior Approach

This study was conducted to evaluate the results of management of comminuted fractures of the mid-distal third shaft of the humerus with indirect redu... Read more

10.36959/453/518

Case Report

Mycobacterium Kansasii: A Case of Blood Stream Infection with Multiple Metastatic Abscesses

Mycobacterium kansasii is the second most common cause of Non-Tuberculous Mycobacteria (NTM) disease in the United States including patients with HIV ... Read more

10.36959/719/559

Case Presentation

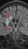
Do Not Overlook Zona Herpes Ophthalmicus in a Patient Presenting with Pupil-Sparing Oculomotor Nerve Palsy

Herpes Zoster (HZ), relatively common syndrome, is the result of reactivation of Varicella-Zoster Virus (VZV) that lying in the ganglion after a prior... Read more

10.36959/524/330

Case Report

Small Bowel Myxoma Inciting Ileo-Ileal Intussusception: The First Reported Case Managed Laparoscopically

This case describes the clinical and pathologic findings as well as the surgical management of a patient diagnosed with a rare small bowel myxoma. Thi... Read more

10.36959/351/583

Review Article

Advance Care Planning: Counseling in the Wake of CMS Reform

Advance directives, in the form of living wills and durable powers of attorney, have been in the medical ethics nomenclature and standard of practice ... Read more

10.36959/577/480