Case Report

Thoracic Endometriosis in Monozigotic Twins

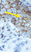
Endometriosis consists on the presence of functionally active ectopic endometrial tissue. The thorax is the most frequent extrapelvic location. The ca... Read more

10.36959/367/435

Original Research

Emotion Regulation in High and Low Socially Anxious Individuals: An Experimental Study Investigating Emotional Mimicry, Emotion Recognition, and Self-Reported Emotion Regulation

Emotion recognition and emotional mimicry are both highly important for social interactions. The authors investigated in a subclinical sample if High ... Read more

10.36959/362/469

Case Report

Multimodal Therapy for Recalcitrant Cutaneous Fusarium Solani Infection in a Patient with Hyper-IgE Syndrome

Hyper IgE Syndrome (HIES) is an inherited immunodeficiency syndrome with an increased susceptibility to cutaneous fungal infections. While systemic an... Read more

10.36959/661/295

Research Article

Is Phenotypic Variability in Leaf Vein Density in Rice Associated with Grain Yield?

Rice, Oryza sativa L. is the staple food of half of the world's population, mostly in Asia. Therefore, it is essential to increase rice yield to meet ... Read more

10.36959/973/414

Case Report

Intravascular Hemolysis as a Presenting Feature of Acute Cytomegalovirus Infection in an Immunocompetent Patient

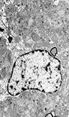
Acute Cytomegalovirus (CMV) infection seldom presents with hemolytic anemia in an immunocompetent host. When hemolysis does occur, it is typically imm... Read more

10.36959/831/375

Original Research Article

Dynamic Response and Vibration Control of a Planar Tensegrity Beam under El Centro Seismic Excitation

Tensegrity systems are mechanical structures made of struts in compression, kept in stable equilibrium by a network of cables in tension, they are a c... Read more

10.36959/422/428

Research Article

Critically Evaluating Mechanics of Structure Genome-Based Micromechanics Approach

The objective of this paper is to critically evaluate the accuracy and efficiency of a general-purpose micromechanics approach based on the Mechanics ... Read more

10.36959/422/427

Commentary

Proteins are Not Recruited: A Plea for Better Diction

Nearly all biological processes proceed or are controlled by protein-protein or protein-ligand binding reactions. Using anthropomorphic language to de... Read more

10.36959/672/587

Research Article

Role of Chemical Steps in the Electrochemical Reduction of Metal Complexes

The role of chemical steps in electrochemical processes involving metal complexes is considered invoking the model of mass transport of chemically int... Read more

10.36959/672/586

Research Article

Age-Related Changes of Some Trace Element Contents in Intact Thyroid of Females Investigated by Energy Dispersive X-Ray Fluorescent Analysis

A prevalence of thyroid dysfunction is higher in the elderly as compared to the younger population. An excess or deficiency of trace element contents ... Read more

10.36959/452/579