Research Article

Aging in America and Meals on Wheels: Exploring Impacts on Food Insecurity, Health Outcomes, and Hospitalizations

In the U.S., the 65 and older demographic is expected to double in size by 2050 and with older adults accounting for more than a third of hospital sta... Read more

10.36959/452/578

Review Article

The Pharmacotherapeutics of Methylphenidate and Atomoxetine for the Treatment of Childhood and Adolescent Attention Deficit-Hyperactivity Disorder

The most common class of drugs used to treat Attention Deficit-Hyperactivity Disorder (ADHD) are the central nervous stimulants. These drugs stimulate... Read more

10.36959/569/451

Research Article

Dimensional Analysis and Constitutive Equations of Quantitative Microdialysis

As a membrane-based sampling technique microdialysis can be quantified by the relative recovery and the time-to-reach-the-steady-state in sampling. In... Read more

10.36959/584/437

Research Article

Vitamin D Levels in Women with Intrahepatic Cholestasis of Pregnancy

To evaluate the relationship between plasma 25-hydroxyvitamin D (25(OH)D) levels in Intrahepatic Cholestasis of Pregnancy (ICP) patients.... Read more

10.36959/584/436

Case Report

Torsion of the Greater Omentum as a Rare Cause of Acute Abdomen: A Case Report and Review of the Literature

Torsion of the greater omentum is a highly uncommon cause of acute abdomen in adults and is extremely difficult to diagnose preoperatively. Usually it... Read more

10.36959/367/434

Research Article

Comparison of Single-Port and Multi-Port Laparoscopic Methods of Nephrectomy in Young Infants

The aim of this study was to compare results of treatment of non-functioning kidneys in neonates and infants using Single-Incision Laparoscopic Nephre... Read more

10.36959/367/433

Research Article

Effect of Chinese Herbal Medicine Xixin Decoction on Aβ42 and its Regulatory Enzymes in APP/PS1 Double Transgenic Murine Brain

To observe the effect of a Xixin decoction on learning and memory in APP/PS1 transgenic mice in addition to hippocampal ultrastructure and hippocampal... Read more

10.36959/524/327

Review Article

Skin Immunodysregulation Disorders - The T-Cell Mediated Dermatoses

The skin harbors an immune organ, made up of keratinocytes, dendritic cells (also known as Langerhans cells), as well as immune-derived nomadic cells ... Read more

10.36959/661/294

Research Article

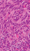
Syndecan 1: A Useful Marker for Differential Diagnosis in Pseudocarcinomatous Hyperplasia and Squamous Cell Carcinoma

Some proteins have been used as immunohistochemical markers for tumor diagnosis. Such is the case of syndecan-1, one of the four transmembrane heparin... Read more

10.36959/661/293

Case Report

Multiple Myeloma with Skin and Breast Involvement: A Case Report

Multiple myeloma; that constitutes 10% of all hematologic malignancies and approximately 1% of whole cancers, is a plasma cell dyscrasia. Extramedulla... Read more

10.36959/661/292