Original Article

Patient Empowerment in Neuro-Oncology: New Perspectives on an Emerging Concept

Patient empowerment focuses on the control the individual patient exerts on his/her own health and illness. The empowerment approach is based on the r... Read more

10.36959/828/330

Case Report

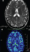
Description of a Tumefactive Demyelinating Lesion Studied with Advanced Magnetic Resonance Techniques: A Clinical Report and Review of Literature

Tumefactive Demyelinating Lesions (TDL) is atypical presentation of various demyelinating diseases like Multiple Sclerosis (MS). They can mimic brain ... Read more

10.36959/447/337

Short Commentary

From a "Eureka Insight" to a Novel Potential Therapeutic Target to Treat Alzheimer's Disease

It has been almost 4 years since we revealed the solution for the enigma of the so-called "calcium paradox". Our discovery of the involvement of Ca 10.36959/734/371

Case Report

Difficult Direct Laryngoscopy Followed by Easy Video Laryngoscopic Intubation in a Patient with Bilateral Mandibular Tori: Should the Patient be Labeled as Having a "Difficult Airway?"

Mandibular tori are intraoral bony prominences which can make direct laryngoscopic intubation difficult. We present a case where we were unable to int... Read more

10.36959/377/317

Review Article

Improving Tissue Integrity in Intensive Care Unit Patients

Throughout clinical experiences in western Kentucky intensive care units, it has been observed that critically ill patients are not receiving fully im... Read more

10.36959/545/357

Original Article

Inadequate Pediatric Procedural Pain Management in the Emergency Room: A Policy Analysis

Within the provisions of the Patient Protection and Affordable Care Act (PPACA) are specific guidelines on advancing science related to patient pain o... Read more

10.36959/592/374

Case Report

Infantile Haemangioma: Treatment in a Preterm Infant

Infantile Haemangioma (IH) is the most frequent benign vascular tumor of infancy, and active treatment is indicated in special situations. Topical tim... Read more

10.36959/661/291

Research Article

Prevalence of Depression in Mexican Patients with Pemphigus Vulgaris: An Observational Study

Pemphigus vulgaris is an autoimmune bullous disease mediated mainly by IgG autoantibodies directed to desmosome proteins. The mental health of these p... Read more

10.36959/661/290

Research Article

Investigation of Pharmacological Responses to an Anti-Diabetic Drug Pioglitazone in Female Spontaneously Diabetic Torii (SDT) Fatty Rats, A New Obese Type 2 Diabetic Rat

Rigorous glycemic control is essential to prevent the development of diabetes and onset of diabetic complications. Peroxisome proliferator-activated r... Read more

10.36959/647/488

Review Article

Physiological Adaptations of Apnea-Conditioned Athletes and their Implications for Synchronized Swimmers' Performance

Apneas form an essential tool for training in aquatics including swimming, fin swimming and synchronized swimming (SS). We examine the direct response... Read more

10.36959/987/225